مراحل جایگزینی یک دندان به روش ایمپلنت

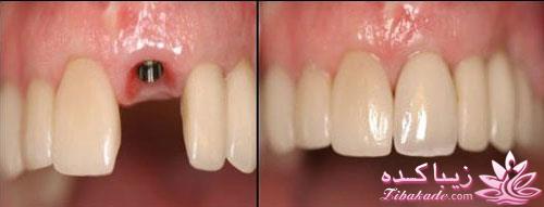
ایمپلنت جایگزین یک دندان برای افرادی استفاده میشود که یک دندان خود را از دست داده اند. ایمپلنت با جراحی در استخوان فک جایگذاری میشود و پس از سپری شدن دوره یکپارچگی استخوان، با استخوان فک آمیخته شده و به عنوان ریشه ای برای تاج مصنوعی دندان عمل میکند. در این شرایط میتوان تاج را بر روی آن متصل کرد تا جایگزین دندان از دست رفته شود. تاج یا کلاهک ظاهری بسیار مشابه دندان طبیعی دارد و به ایمپلنت متصل میشود تا فضای خالی باقی مانده را پر کند.
برای جایگذاری ایمپلنت باید فضای کافی در استخوان فک وجود داشته باشد که از ایمپلنت پشتیبانی کند.
برای ادامه مطلب به لینک زیر مراجعه نمایید
http://goo.gl/6H3en4